Background 08

ABC

Cosmetic dentistry

Cosmetic dentistry can be as simple as ABC!

A is for alignment. Straighten teeth discreetly and quickly with one of our excellent cosmetic orthodontic options.

B is for bleaching. Whitening teeth is simple, safe and easy to maintain.

C is for cosmetic bonding. Irregularities in the shape and size of teeth can be repaired by cosmetic bonding, in just one treatment session.

The major benefits of ABC are:

  • NO drilling is required
  • NO needles are used
  • NO unnecessary removal of health tooth enamel
  • Cost effective
  • Quick
  • Discreet
  • Easy to maintain

In the past, smile transformations required destructive removal of healthy tooth enamel and porcelain veneers. This process is irreversible, costly and requires maintenance for life. Although this will still be required some, for most cases the solution is ABC.

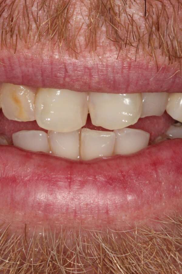
ABC is the future of cosmetic dentistry. Below are some examples of smiles being transformed with ABC.

Image Gallery

Please click on an image to enlarge it.

Cosmetic Dentistry TREATMENTS

Left symbol
Right symbol
Background 04

Contact Us

Contact Us

Get in touch

You can use our online form, call or email our practice or book online.

Progressive Dentistry Telephone Logo  020 7731 1162
Progressive Dentistry Email Logo  info@progressivedentistry.co.uk
Book Online      Book A video consultation