Background 15

Lingual Braces

The truly invisible brace

The only truly invisible brace is one on the inside of your teeth. If the thought of fixed metal braces on the outside of your teeth literally sets your teeth on edge or you know that you would not wear Invisalign for 22 hours every day, then lingual braces are the answer!


Take the first step and book your FREE video consultation with our expert Dr Nissit Patel.

As lingual braces are placed on the inside of the teeth, they are completely hidden from view so that no one will know that you are straightening your teeth! If you have thought about braces but been put off by the stigma attached to conventional treatments, we have the answer.

Lingual braces can be used for most types of treatment from a single tooth to full mouth correction.

Why choose us for treatment?

  • Thousands of successfully treated cases
  • Over 15 years experience
  • We have treated every imaginable case using lingual braces
  • Treatment exclusively with Dr Nissit Patel

Front teeth Social 6 lingual brace special offer just £1500

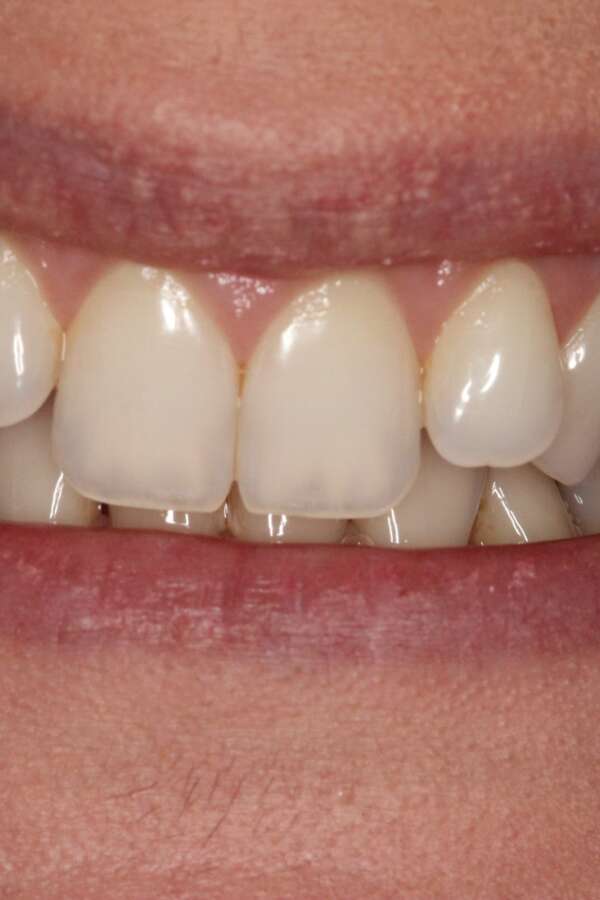
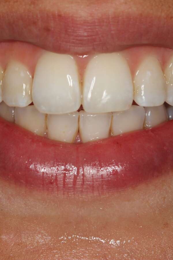
Check out our latest case of the month on lingual braces, stunning results!

Straight front teeth in weeks not years. Totally invisible, hidden behind your teeth.

Social 6 lingual brace offer £1500*, reduced from £2500

Contact us and book your FREE video consultation today.

Offer available until October 31st 2025.

*Single arch only. Excludes final retainers.

Social 6 lingual braces

Social 6 lingual braces

One of the systems we use is the Social 6 lingual brace. This system is ideal for minor to moderate crowding or spacing affecting the front teeth and typically takes only 12-16 weeks to straighten your teeth.

The brackets are only placed on the front 6 upper or lower teeth. The canine teeth act as the anchors of the brace with the aims of aligning the front 4 incisor teeth making it a truly cosmetic brace.

The major benefits include:

  • Totally invisible
  • Treats minor to moderate crowding or spacing of the front teeth with maximum control and no compliance issues
  • Comfortable
  • Quick treatment
  • Minimal impact on speech and lifestyle


Full arch lingual braces

Full arch lingual braces

For more advanced cases, further tooth movement and correction of the bite we have full arch lingual braces. For this, an orthodontist with an expertise in lingual braces will provide a bespoke treatment plan.

These braces are similar to Incognito braces and are required for more comprehensive treatment when Social 6 lingual braces cannot meet the demands of the case.

Full arch lingual braces are completely bespoke for your situation. The brackets and wires are individually made to fit your teeth and therefore a far greater level of treatment can be achieved. In all cases, a full digital diagnostic set up is produced so that you can see the end result before starting treatment. This provides the template to the magic of full arch lingual braces.

The benefits of full arch lingual braces are:

  • Totally invisible
  • Allow correction of greater numbers of teeth
  • Allow correction of more advanced tooth crowding, rotation and spacing
  • Provide greater control and stability
  • Allow correction of the occlusion (bite) when upper and lower full arch braces are used
  • Correction of overjet, overbite, cross bite and open bite problems are possible
  • Arch development (expansion) is possible

After the initial consultation, we will be able to inform you which system is most suited for your needs.

We have vast experience in many lingual brace techniques and brackets. These include:

STB

STB brackets are able to deliver maximum 3-D control with optimal results. The brackets are only 4.57mm in length and 1.5mm in profile making them one of the smallest brackets on the market. The size also allows an increase in the inter bracket distance. The rounded corners provide maximum comfort and reduced impact on speech.

  Stb social 6

MTM no trace brace

Another system we use is the MTM No Trace Brace.

MTM brackets have a unique gate system, which means that the arch wire is locked into place without any additional wires. The MTM brace is truly self ligating and therefore there is little friction with the system resulting in very quick treatment times.

  Mtm no trace brace

2-D brackets

2-D brackets are the flattest brackets for the very best in patient comfort. When closed the brackets are just 1.3mm in profile. The brackets are self ligating with a clever opening and closing technique. They are super polished with rounded corners. Freedom for the tongue!

We use Forestadent and Protect 2-D brackets.

Some examples of how the system works are below, the treatment and photographs were completed by Dr Nissit Patel.

  Protect bracket

Image Gallery

Please click on an image to view.

Teeth Straightening TREATMENTS

Left symbol
Right symbol
Background 04

Contact Us

Contact Us

Get in touch

You can use our online form, call or email our practice or book online.

Progressive Dentistry Telephone Logo  020 7731 1162
Progressive Dentistry Email Logo  info@progressivedentistry.co.uk
Book Online      Book A video consultation