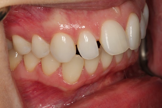
Our case of the month for August is a beautiful one involving a very natural smile transformation using minimally invasive dentistry. For those of you who have not read any of our case of the month articles, we believe in the least invasive techniques to produce stunning smiles. After all, we are all born with teeth that should last a life time. If the healthy tooth enamel is drilled away for cosmetic reasons, the tooth may not last a life time which would be a travesty. Our client was told to have a set of 6 veneers to produce the 'perfect smile'. Understandably, she was not happy with this solution which would mean cutting all of the enamel off the front teeth. Her aims were that of a natural smile rather than perfection and a treatment that involved keeping her teeth intact. The presenting situation showed uneven, crowded front teeth with some spacing present:
We opted to treat this using a Social 6 lingual brace to even the teeth and close the space. Although a full arch lingual brace would be the best option, our patients aim was for improvement rather than the best result with finance being a consideration also.
The treatment time for this was between 3-4 months. The right central tooth is chipped and a great solution to correct this is cosmetic bonding. Here, we simply reconstruct the defect using state of the art composite resin and a sophisticated polishing technique.
So there we are. Wonderful end result without any enamel loss, a short treatment time and affordable. If you are thinking about a new smile this autumn, contact us today. Treatment completed by Dr Nissit Patel. Photographs cannot be reproduced without strict permission.
 
            
         
            
        




