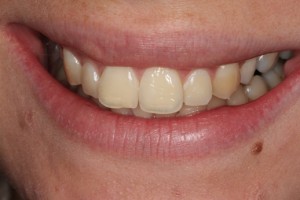
Our case of the month is a fantastic tooth whitening case. The treatment involved using custom made tooth whitening trays and 6% hydrogen peroxide gel from Philips Zoom. Please view the before and after photographs:
After the tooth whitening trays were worn for 1 hour of the day for 2 weeks, a power session was carried out in the dental chair to reach the maximum whiteness. As you can see, a lovely white, gleaming smile. Treatment carried out by Dr Nissit Patel. Photographs taken by Dr Nissit Patel, any unauthorized reproduction is strictly prohibited.

