Some of you may have noticed that we missed the Case of the Month for March. However, our case today is worth the wait. Sometimes the end result is so spectacular that it completely transforms the smile, overall aesthetics, confidence and outlook on life. Modern dental orthodontic treatment means that treatment times are often far less than in the past which is a huge bonus. Our case underwent conventional full mouth orthodontics using good old metal brackets, which often are still the best method of treatment. The reasons being are:
- Metal brackets are robust and will not break
- Metal brackets are highly polished and offer less friction for quicker movements
- Metal brackets can be removed and re bonded with ease for adjustments
- Metal brackets are far cheaper than ceramic or lingual brackets
- Metal brackets allow the placement of elastics with ease
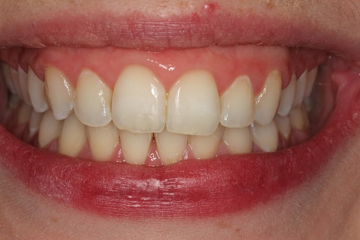
We appreciate that conventional orthodontic treatment is not for everyone, but for those of you who want the best results in the shortest time span and are not bothered about how they look- this is the option for you. Our case initially:


This would have to be our case of the year so far. Remember, this treatment involved NO drilling of natural teeth, NO injections and NO pain. Treatment time less than one year.
If you are considering transforming your smile this year, give us a call. It could be the best decision of your life.
Treatment completed by Dr Nissit Patel. Photographs are the sole property of Dr Patel and cannot be replicated for any reason.