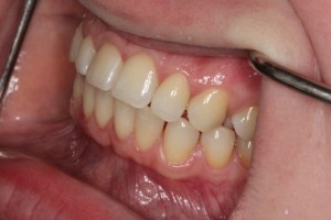
Spaces between teeth can be unsightly and affect self confidence. A space between the very central teeth is often a fashion statement. Famous celebrities such as Madonna and Vanessa Paradis are recognised by their gap. However, spaces behind the lateral incisors are not so attractive and are often asscociated with the Great British Smile. We have a classic example below:
How was this done?
In the old days of dental treatment, cosmetic dentists would have prescribed porcelain veneers to close the gap. This would have involved stripping the tooth enamel from 4-6 teeth and placing the veneers to achieve symmetry and close the space. This is invasive and non biologic. Long term, veneers require replacing which involves even greater tooth destruction.
The answer?
Modern cosmetic dentistry allows us to straighten teeth quickly and discreetly. In this case, the truly invisible brace was used to close the space behind the teeth. This is called a lingual brace. The technique involves NO tooth destruction, NO drilling, NO needles and NO pain.
The answer is simple- cosmetic tooth alignment.
Our patient wanted a perfect smile for her wedding and we have achieved just that. She is delighted and cannot wait for her big day.
Other options
There are many options available to close spaces. Another simple technique is called cosmetic bonding. This technique involves replacing tooth enamel with highly aesthetic composite material. This is a purely additive process and involves very little, if any, tooth preparation. The results are instantaneous, so you could have a new smile in ONE visit.
Contact us
Please contact us with any information you require regarding enhancing your smile with cosmetic dentistry. We have the answers to any problem. Call us today.

