We are delighted to announce a fantastic lingual brace offer for September. A full arch lingual brace is now just £2000, saving £1500 (usual fee £3500).
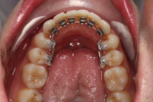
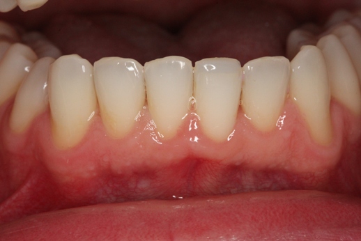
Lingual braces are the truly invisible brace as they are placed on the inside of the teeth. If you would like a discreet way of straightening your teeth, then lingual braces could be the answer. In many cases, lingual braces are also extremely quick. Mild crowding could be corrected in just a few weeks!
To learn more, please view a recent case study:
Not only will straightening the teeth improve the overall aesthetic appearance, it will help oral hygiene and improve your bite. So why wait, take up our fantastic offer before it is too late! Contact us today. Treatment completed by Dr Nissit Patel. Photographs are the sole property of Dr Patel and any reproduction is strictly prohibited.


