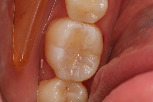
Our case of the month for May 2017 involves treatment of tooth decay using our incredible Waterlase i Plus laser. This highly sophisticated technology allows us to treat tooth decay without having to drill the tooth and without any anaesthetic in most cases. Just think; dentistry without drilling and without needles! Just take a look at our case:
Modern day dentistry has evolved beyond comprehension. As our name suggests, we are Progressive and offer the most advanced treatments available that have a real benefit. If you need fillings and dread the dental drill or are a needle phobic, we can help. Simply pick up the phone or e mail us. t 0207 7311162 e info@progressivedentistry.co.uk

