{ The Online Blog }

ARCHIVES
CATEGORIES
TAGS

ARCHIVES

 
Jan 2025
4th
 

Composite Bonding vs. Porcelain Veneers: Which is Right for Your Smile?

Is composite bonding as good as porcelain veneers?

To answer this question, we really need to differentiate the two treatments as they are two different treatment entirely.

Composite bonding is an additive process. In simple terms, we carefully sculpt composite resin over the teeth in question. This can be used to treat chipped, fractured, uneven and gappy teeth. Composite can also be used to replace old fillings on front ( or back) teeth. The great advantage of bonding includes:

1. Treatment is completed in one visit; an instant smile transformation!

2. Minimally invasive. There is little, if any, drilling of the underlying teeth needed.

3. Biologically safe for the teeth and gums. There is no risk of damage to the nerve.

4. Composite can be easily maintained.

5. More affordable than porcelain veneers or ceramic crowns.

6. Composite will protect the underlying teeth from further wear and tear.

Are there disadvantages of cosmetic composite veneers?

Yes, there are limitations that need to be aware of. These include:

1. Composite will need maintenance over time with polishing, re layering, repair

2. The level of aesthetics cannot match that of porcelain veneers. We will often refer to the finish of composite as 'matt' compared to super high gloss of 'porcelain'.

3. Composite will stain over time.

4. Composite will wear over time.

So is it better to have porcelain veneers?

Well, this will depend on what the overall aims and objectives are. The advantages of porcelain or ceramic veneers include:

1. Extremely high level of aesthetics

2. Veneers can be characterised and customised for a unique appearance

3. More durable than composite

4. Will not stain or pick up dietary colours

5. Symmetry can be created more easily

The disadvantages of porcelain veneers include:

1. The underlying teeth need to be drilled down to provide space for the veneer , this is irreversible

2. If too much tooth is removed, this could lead to biological damage such as nerve inflammation leading to root canal treatment.

3. Veneers have to be bonded to tooth enamel for a really high bond strength. If the bond is only on tooth dentine ( underneath enamel) , they are far more likely to fall off.

4. Much more expensive than composite bonding.

5. Porcelain cannot be repaired in the mouth. If the veneer chips for example, the entire veneer will need removal and replacement.

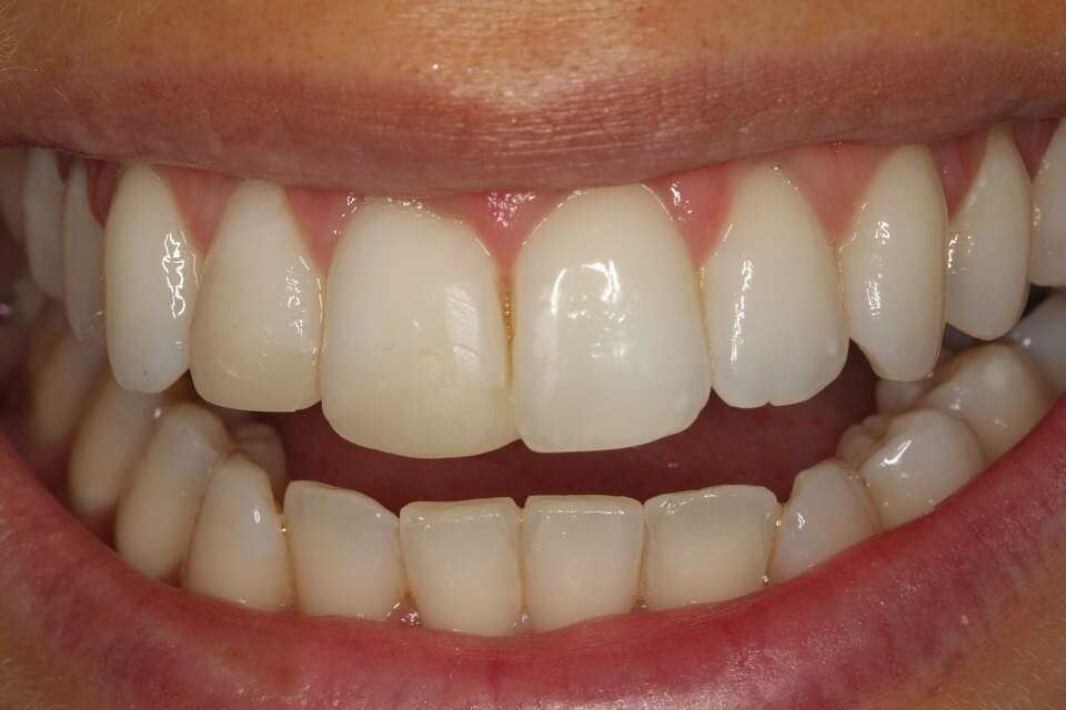
Case of the month December 2024

Our case of the month for December 2024 involves a classic case of replacing old composite fillings with new ones and improving the smile. Our patient unfortunately had an accident where two front teeth were damaged. Although replaced, over time, they discoloured and needed to be replaced. Just take a look below:

before replacing old composite fillings

Discoloured composite which is quite obvious and was upsetting our patient

after replacing old composite fillings

A new smile in one visit! Can you tell the difference? Treatment expertly done by Dr Nissit Patel.

Book your free video consultation today

If you would like a completely free video consultation on transforming your smile with composite bonding or porcelain veneers, please book your appointment today. Appointments are available throughput the week and evenings. Why wait, life is too short!

RELATED POSTS

Jul 2025
9th
 

How can you change the colour of a dark front tooth?

One of the most common causes of discoloured teeth is due to a 'dead tooth' or a tooth that is root filled. All of our teeth are supplied by nerve and blood supply. Now when a tooth needs a root canal treatment, this supply called the pulp is removed which can lead to the deposition of blood products within the tooth which is then absorbed by the tooth leading to a darker colour. On a back tooth, this may not have any major issue but on a front tooth is a different matter altogether!… CONTINUE READING
May 2025
7th
 

How to transform your smile using arch expansion with Invisalign

A smile says a thousand words, as the old saying goes. However, if you never smile what does that tell us? In most cases, hiding a smile means that one is embarrassed with their teeth and lack overall confidence. This is perfectly understandable and something we see on a daily basis. The good news is that a smile transformation is no longer an arduous process which costs the earth, as our case of the month highlights.… CONTINUE READING
Jan 2025
18th
 

Improving your smile with composite bonding

A smile speaks a thousand words as the old saying goes. Sometimes, it is the little changes that really make a difference. This may not be evident to everyone but if a small enhancement gives you more confidence then this make a huge difference to ones wellbeing. One of the ways we can enahnce a smile is with a technique called composite bonding. Our case of the month for January 2025 is really a classic one where bonding was used to improve the smile symmetry in a subtle yet striking way.… CONTINUE READING
Jan 2025
4th
 

Social 6 lingual brace, whitening and bonding. The truly invisible brace

One of our favourite treatments for cosmetic teeth straightening is the Social 6 lingual brace. This brace is the truly invisible brace as it is placed on the inside of the teeth. Even though lingual braces have been around for many decades, there is little awareness of the system as the treatment in the past has been kept within the realm of specialist orthodontists and the costs have been incredibly high compared to conventional braces. Now for complex cases, lingual brace treatment is an extremely diffic… CONTINUE READING
 

TAGS