Our case of the month for April is a wonderful cosmetic dental treatment involving front teeth. The treatment is called composite bonding. This is essentially a treatment to enhance the appearance of the teeth by naturally replacing lost tooth enamel and dentine using the most aesthetic dental materials available.
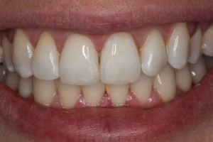
Our client had front teeth that were chipped and uneven.

This treatment was completed in one visit, did NOT require any drilling of the teeth, did NOT require any needles and is completely non invasive. Why remove healthy tooth when you can add?
The treatment was completed using Empress Direct composite by Dr Nissit Patel. The photographs are the sole property of Dr Nissit Patel and any unauthorised reproduction is strictly prohibited.
If you are interested in cosmetic bonding, enhancing your smile with cosmetic dentistry, teeth straightening, teeth whitening or simply teeth cleaning to remove stains then contact us today.
ABOUT US
We are highly dedicated to excellence in dentistry using the least invasive techniques which are kind to teeth and gums. We have a state of the art facility with the latest technology.
Our dental practice can be found on Fulham High Street, close to Putney Bridge underground station. Fulham Road, New Kings Road, Fulham Palace Road all connect with Fulham High Street if you are driving. Alternatively, there are many buses serve the area.
