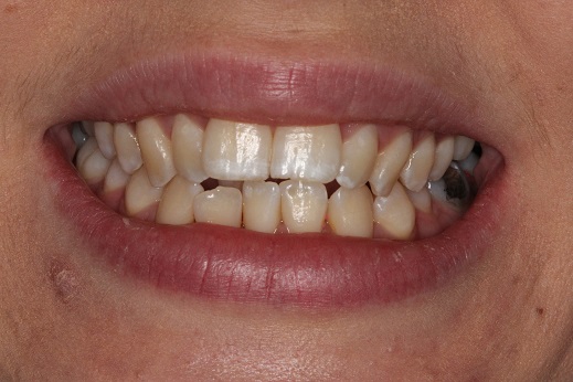
Our case of the month for March involves a full transformation of the entire mouth. The treatment involved planning using Insignia. What is Insignia? Well, this is a fantastic software platform that allows us to plan the best possible teeth positions for each case in very fine detail. We can then produce dental braces which are bespoke for your teeth including the orthodontic wires and a treatment plan which is finely tuned to produce the best end result in the quickest time frame. Our case shows how beautifully Insignia can work and what a difference the treatment can have. Just take a look at the before and after photographs; you will be amazed!

Treatment completed by Dr Nissit Patel. Photographs may not be reproduced without our authorisation. If you would like to transform your smile this year, please contact us as soon as possible.
