{ The Online Blog }

ARCHIVES
CATEGORIES
TAGS

ARCHIVES

 
Dec 2025
16th
 

Invisalign Comprehensive to Close Spaces and Improve the Bite

Can Invisalign really close gaps between the teeth?

One of the most common comments we encounter when discussing Invisalign with our patients is 'can Invisalign really close large gaps between my teeth?'. The reason for this is that most dentists will say that only fixed braces have enough 'force' to close spaces with any certainty. However, with careful planning and using the latest technology available, we can predictably close gaps and improve the bite using Invisalign.

Case of the Month November

Our case of the month for November was exactly the type of treatment where our patient was told that Invisalign was not suitable and that only fixed braces would suffice. Just take a look at the before and after photos which show a dramatic improvement in not only the aesthetic appearance but also function. A great case!

Before Treatment

IMG 4166

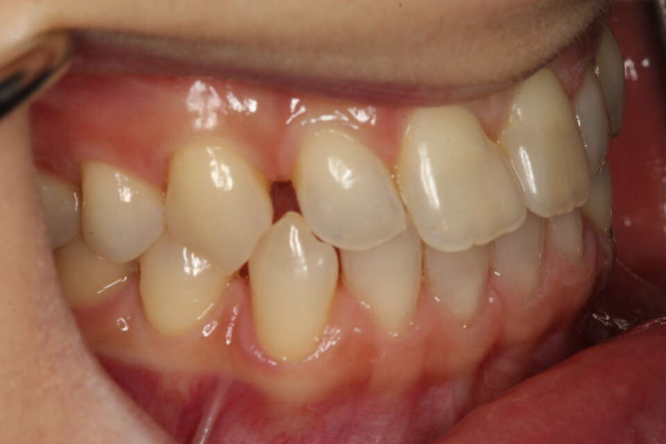
A narrow smile line, cross bite and complaints of a poor occlusion ( bite)

IMG 4169

Large gap between the upper right incisor and canine tooth

After Treatment

IMG 8038

A wider, more aesthetic smile, cross bite corrected and overall improved bite

IMG 8040
Spaces closed and a far improved profile

Treatment details

The treatment was planned and completed by Dr Nissit Patel using Invisalign Comprehensive, our premium Invisalign product. The time frame was just 7 months and overall fee scale less than £4000.

If you are looking to transform your smile in the New Year, do not hesitate to contact us. Why wait, life is too short!

RELATED POSTS

Nov 2025
29th
 

Our patient was told it was impossible but we managed to straighten her teeth

We love a challenge especially when it concerns teeth straightening and our case of the month treated in October was a great one. Our lovely patient came to us to straighten her front teeth only after years of being down about her smile. She was told by several dentists that it simply was not possible without going through a long drawn out full mouth orthodontic plan. We were happy to take on the challenge head on and after some careful planning, Dr Nissit Patel was able to provide a great result in a few m… CONTINUE READING
May 2025
19th
 

Straightening a twisted front tooth within a few weeks

Our case of the month for April 2025 is a familiar one where there was some relapse after past braces and a front tooth had started to twist over the adjacent tooth. In the grand scheme of things, this is a minor issue but if you have already had braces and a front tooth starts to rotate, this is incredibly frustrating! Now the good news is that we can correct this in a short space of time, with a discreet solution, with minimum fuss and at an affordable fee. The answer lies in the Social 6 lingual brace wh… CONTINUE READING
May 2025
7th
 

How to transform your smile using arch expansion with Invisalign

A smile says a thousand words, as the old saying goes. However, if you never smile what does that tell us? In most cases, hiding a smile means that one is embarrassed with their teeth and lack overall confidence. This is perfectly understandable and something we see on a daily basis. The good news is that a smile transformation is no longer an arduous process which costs the earth, as our case of the month highlights.… CONTINUE READING
Mar 2025
5th
 

Invisalign Comprehensive for severe crowding

Our case of the month for February is a fantastic one which highlights the extent of the versatility of the Invisalign system. It truly is a replacement for fixed braces with many benefits. In the past, it was correct to say that certain cases could not be treated with Invisalign and that fixed ( train track) braces were the only option. However, times change, technology advances and the advent of digital dentistry has changed the landscape of dental care.… CONTINUE READING
 

TAGS