{ The Online Blog }

ARCHIVES
CATEGORIES
TAGS

ARCHIVES

 
Nov 2025
29th
 

Our patient was told it was impossible but we managed to straighten her teeth

Case of the Month October

We love a challenge especially when it concerns teeth straightening and our case of the month treated in October was a great one. Our lovely patient came to us to straighten her front teeth only after years of being down about her smile. She was told by several dentists that it simply was not possible without going through a long drawn out full mouth orthodontic plan. We were happy to take on the challenge head on and after some careful planning, Dr Nissit Patel was able to provide a great result in a few months using the Social 6 lingual brace.

Social 6 lingual brace

The Social 6 lingual brace is placed on the inside of the teeth which means it is totally 'invisible' and no one will know you are straightening your teeth! The beauty of the treatment is two fold; hidden and quick. Most treatments only last 3-4 months.

There are a few considerations to be aware of when going through a lingual brace treatment which include:

1. Contact on the brackets when biting. This is only for upper teeth but this means you have to be careful when biting and avoid hard crunchy foods for the first few weeks.

2. Tongue irritation. Lingual means near to the tongue and the tongue is an incredibly active muscle which will play with the brackets. This can cause some soreness but only for a little while.

3. Speech can be affected. With any orthodontic treatment, a lisp can be expected but with time and practice, this will resolve.

4. Cleaning can be a little tricky as you cannot see the brace but this can easily be overcome with patience and good dental aids such as an electric tooth brush and waterflosser. We recommend Waterpik.

5. We advise wearing a night guard on the lower teeth if the upper teeth are being treated so that the brace will not be affected by night time grinding ( bruxism)

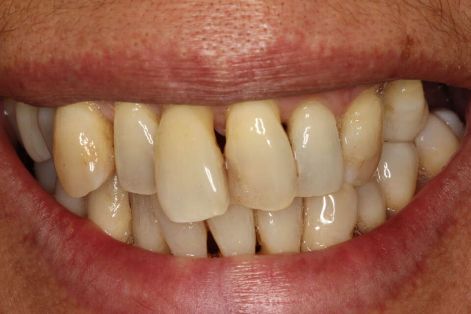
Before Treatment

IMG 6763

It is never too late to enhance your smile with our patient being in the last 60's. Quite severe crowding present but she only wanted to treat her front teeth.

After treatment

IMG 7926

A few months later, a new smile!

Lingual brace in situ

IMG 6771

From this view, you can see the extent of the crowding

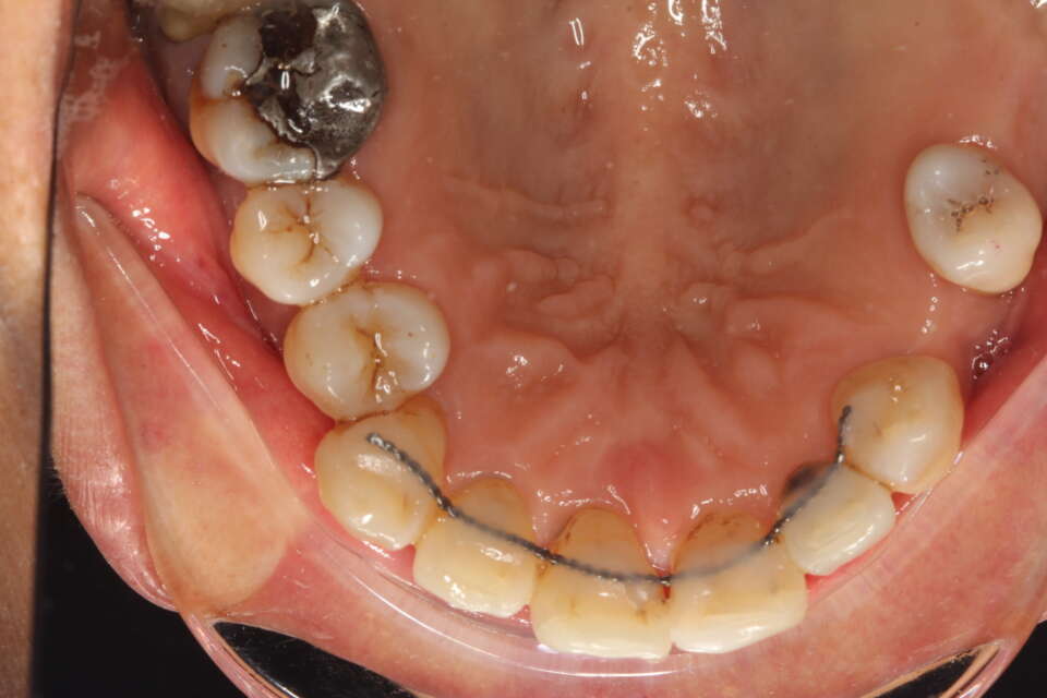
Fixed retainer

IMG 7931

We always advise having a fixed wire retainer after treatment. Retention is for life!

Are you ready! Book a free video call with Dr Nissit Patel

Would you like straighter teeth in a few months? Book your free video call with Dr Nissit Patel and start the journey today.

RELATED POSTS

Nov 2025
3rd
 

Teeth straightening with an invisible brace ,a true smile transformation

Teeth alignment is an incredibly popular cosmetic dental treatment which we have been offering for nearly 16 years at Progressive Dentistry. Most people know about Invisalign, which is a fantastic treatment using clear aligners. However, not many are aware of lingual braces. This brace is placed behind the teeth hence no one will know you are straightening your teeth. This treatment is not readily available at most dental practices like Invisalign as it is regarded as being more technically difficult and re… CONTINUE READING
May 2025
19th
 

Straightening a twisted front tooth within a few weeks

Our case of the month for April 2025 is a familiar one where there was some relapse after past braces and a front tooth had started to twist over the adjacent tooth. In the grand scheme of things, this is a minor issue but if you have already had braces and a front tooth starts to rotate, this is incredibly frustrating! Now the good news is that we can correct this in a short space of time, with a discreet solution, with minimum fuss and at an affordable fee. The answer lies in the Social 6 lingual brace wh… CONTINUE READING
Mar 2025
5th
 

Invisalign Comprehensive for severe crowding

Our case of the month for February is a fantastic one which highlights the extent of the versatility of the Invisalign system. It truly is a replacement for fixed braces with many benefits. In the past, it was correct to say that certain cases could not be treated with Invisalign and that fixed ( train track) braces were the only option. However, times change, technology advances and the advent of digital dentistry has changed the landscape of dental care.… CONTINUE READING
Jan 2025
4th
 

Social 6 lingual brace, whitening and bonding. The truly invisible brace

One of our favourite treatments for cosmetic teeth straightening is the Social 6 lingual brace. This brace is the truly invisible brace as it is placed on the inside of the teeth. Even though lingual braces have been around for many decades, there is little awareness of the system as the treatment in the past has been kept within the realm of specialist orthodontists and the costs have been incredibly high compared to conventional braces. Now for complex cases, lingual brace treatment is an extremely diffic… CONTINUE READING
 

TAGS