We are running a series of case studies to demonstrate the treatments and outcomes that have been achieved at Progressive Dentistry.
Our first case was a long and complicated case involving failing crowns and bridges, which required a full upper arch rehabilitation. Initially the gum disease was treated by our Dental Hygienist and Therapist, Jenny Wiggins. This was done over a number of sessions with superb results.
After all the failing crowns and bridges were removed, the patient wore a set of temporary teeth to allow the gums to heal and ensure that they could get used to the new design and bite. This was left for a period of 3 months.
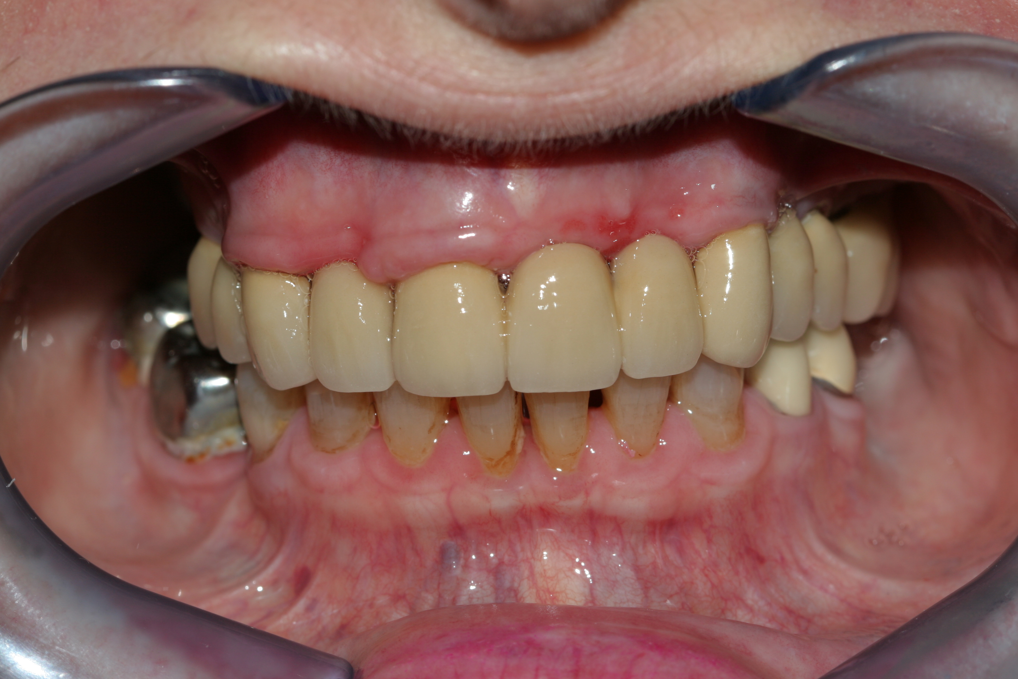
After full healing and adaptation, the temporary crowns and bridges were removed and a new set could be made. The difference in the gums and overall oral health was outstanding. The overall result was natural, aesthetic and met all of the patient requirements. 
Please view the series of photographs below:
 
The final result was determined entirely by the patient in terms of tooth colour, shape and contours. In this way, the new smile was totally bespoke.
If you are suffering from poor oral health, the first step is the all important initial consultation. We will provide a comprehensive report on how to improve your dental health with long lasting results, which are kind to teeth and gums and with minimally invasive techniques.
All dental crown and bridge work completed by Dr Nissit Patel.
 
            
         
            
        


