Our case of the month for February involves the replacement of a single front tooth crown. Although this may seem a simple process, the technical skill involved in achieving a great match to the adjacent teeth is incredibly high.
A dental crown is often needed if a tooth is badly broken, decayed or has had root canal treatment. Heavily damaged teeth will not be able to withstand the everyday forces of eating, chewing or grinding and may split or fracture. If the fracture is below the gum level or between the roots, the only option will then be removal of the tooth.
The process involved with a crown has changed now that we use a fully digital approach. The only physical impression we need is a small one of the tooth to be able to make a temporary crown. The tooth in question will be prepared to approximately 0.8mm-1.2mm all around with a taper of 6-12 degrees. A vital aspect is something called a 'ferule'. This is where the preparation ends on tooth surface rather than a filling material. If a ferule of 1-3mm can be achieved, the retention and resistance form is very high leading to a long lasting treatment. Your dentist will be able to tell you if this has been achieved.
Once the tooth has been prepared, it is usual for some level of gum 'retraction' using either pastes, cord or a combination of both. This is important so that the margin of the preparation is clear. This is where the crown will sit and hence if the margin is clear, a good fit will be the end result.
We will then take a digital scan of the tooth and surrounding areas including how you bite. There is no need for messy, sticky impressions! On the software we can check that there is enough space, check the margin, shade test the adjacent teeth and check the angulation/ taper.
Then it is time to make the temporary crown. This is usually from a bis acryl composite material and seated with a soft cement. Our labs will ask for 10 working days in most cases where the scans will be printed and the new crown designed, milled, characterised and glazed ready for fitting.
The fitting appointment is usually straight forward with perhaps a slight adjustment. Once fitted, the crown will take a few days to get used to. After that, it will feel part of your mouth.
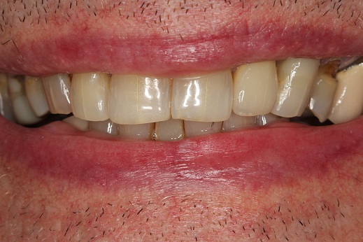
Here are the photos of our case:

Needless to say, our patient was delighted.
Treatment completed by Dr Nissit Patel, lab work by Estetica Dental Lab.
Photos may not be reproduced for any reason without strict permission from Dr Nissit Patel.
