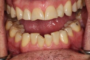
Our case of the month for December 2018 involves one of our favourite techniques: ABC A is for alignment. Straightening teeth using a discreet treatment method, usually in a short space of time. B is for bleaching. Whitening teeth to brighten your smile. C is for cosmetic bonding. Enhancing the overall shape and symmetry of teeth by adding to teeth rather than cutting away healthy tooth enamel. Our case presented with quite severely crooked lower front teeth which bothering him a great deal. They were rotated, overlapping and worn down from years of tooth grinding. Initially, they front 4 teeth were straightened using the Social 6 lingual brace. Aligning the front teeth means that any future cosmetic dental procedure such as composite bonding or porcelain veneers requires minimal tooth preparation if any at all. After alignment, the teeth were whitened using a take home kit with Phillips ZOOM gel 6% hydrogen peroxide, which lifted the overall shade by 4-5 levels. Cosmetic bonding was then performed on the front 4 teeth to level the edges. Not only does this enhance the overall aesthetics but this will also improve the bite. Having even edges on the front teeth allows a smooth guidance when eating and chewing. In turn, this will protect the back teeth also. Before and after photos:
If you would like to straighten and whiten your teeth next year, please contact us. Treatment completed by Dr Nissit Patel using Social 6 lingual brace, Phillips ZOOM take home whitening kit and G-aenial composite by GC.

