{ The Online Blog }

ARCHIVES
CATEGORIES
TAGS

ARCHIVES

 
Apr 2026
20th
 

Metal free dental implant to replace a missing back tooth

Zirconia Dental Implants

One of the common trends we are seeing this year is the increasing popularity of metal free dental implants or zirconia dental implants. The benefits of zirconia include:

1. Superior aesthetics

  • Zirconia is tooth-coloured (white), so it blends seamlessly with natural teeth.
  • No risk of a grey metal shine-through, especially in patients with thin gums.

2. Metal-free / hypoallergenic

  • Ideal if you want to avoid metals or have sensitivities.
  • Very low risk of allergic reactions compared to metal-based implants.

3. Lower plaque accumulation

  • The ceramic surface tends to attract less plaque and bacteria, which may help gum health.

4. Corrosion-resistant

  • Zirconia does not corrode or release ions, making it appealing for patients concerned about long-term material stability.

5. Good soft tissue response

  • Some studies suggest improved gum tissue integration and aesthetics around the implant.

Case of the Month March 2026

Our case involves replacing a missing back molar with a zirconia dental implant which was Nobel Pearl by Nobel Biocare. Our patient did not want any metal at all, being a personal preference. We were happy to oblige and after careful digital planning by Dr Nissit Patel, the implant was successfully placed and restored.

Before Treatment

IMG 6913
IMG 6908

A missing back molar which affects eating and everyday function.

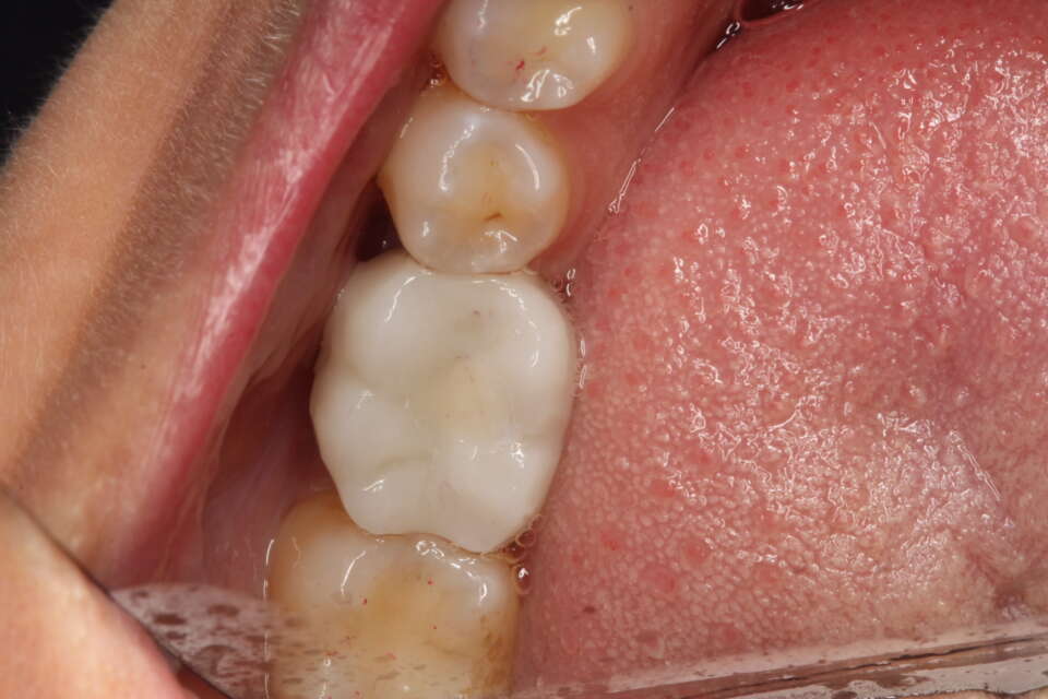
Zirconia Dental Implant in Situ

IMG 8704

Zirconia dental implant after healing. Note how the implant is white in colour compared to titanium which is grey.

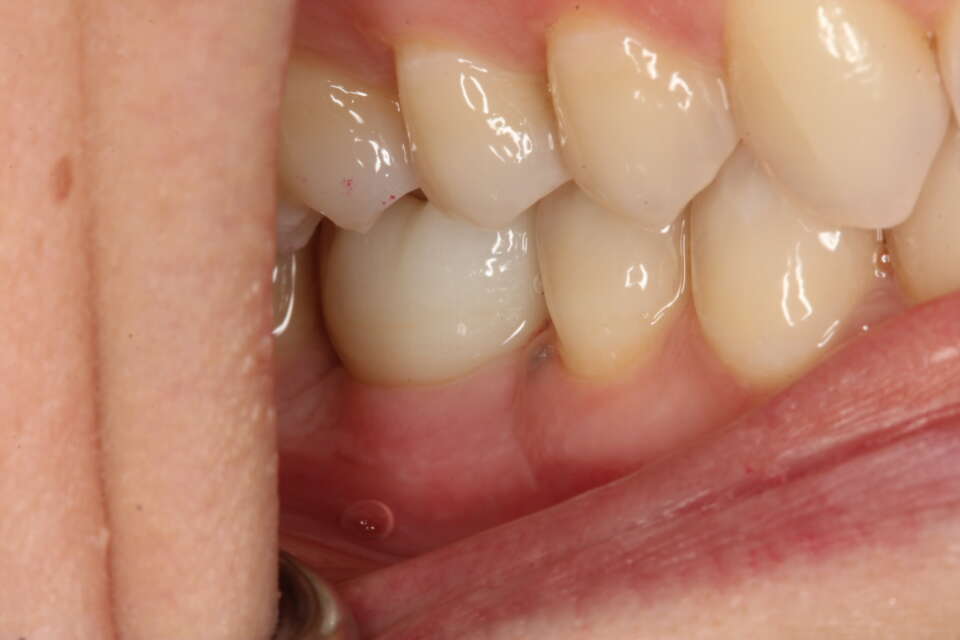
After Treatment

IMG 8705
IMG 7646

The soft tissues really like zirconia and just look how natural the new tooth looks

Do you want to replace missing teeth with metal free implants?

Contact us for more information on zirconia metal free dental implants and arrange a free video consultation with Dr Nissit Patel.

RELATED POSTS

Dec 2025
30th
 

Dental implants to replace missing back teeth and improve the bite

Replacing missing back teeth is essential. The molar teeth are designed for mastication i.e chewing . Without molars, it is far harder to break down foods for ease of swallowing. This essentially means that the diet will be one of soft foods only and eating will take much longer. This would not be a great look at a New Years eve dinner party! Our front teeth are created for incising food i.e cutting. If the teeth in front of the molars are overloaded with excessive force then further problems will result su… CONTINUE READING
Sep 2025
8th
 

Replacing lower premolar and molar teeth - what is the best solution?

Losing a tooth in the back of your mouth can feel frustrating. The lower premolars and molars—the teeth you use most for chewing—are especially important for eating, speaking, and keeping your smile healthy. When one of these teeth is lost due to decay, gum disease, or injury, it’s natural to wonder what the best replacement option might be. While removable dentures and bridges may be an option , we generally recommend dental implants for replacing premolars and molars, especially in the lower jaw. Implants… CONTINUE READING
Aug 2025
8th
 

Metal free dental implants

A missing tooth or teeth can be a major dental issue for most people with aesthetic and functional problems. This is not a good look at the front of the mouth but even from the side, a large gap can ruin a smile. Teeth are designed for a certain reason , whether that be for biting and tearing food ( front teeth) or chewing ( molars). The loss of even one tooth can impact on everyday eating habits and long term issues with the bite. For example, teeth will slowly move into the space left by an extracted toot… CONTINUE READING
May 2025
23rd
 

Replacing multiple teeth with dental implants

Teeth can be lost for various reasons such as tooth decay, trauma, failed root canal treatments or periodontal (gum) disease. The loss of teeth can have a significant impact on not only everyday function but aesthetics and general confidence when out and about. Replacing missing teeth is vital as this will restore function ( eating is important!) , improve aesthetics and prevent the adjacent and opposing teeth from moving into undesirable positions. The latter is a particular problem if the teeth are not re… CONTINUE READING
 

TAGS