{ The Online Blog }

ARCHIVES
CATEGORIES
TAGS

ARCHIVES

 
Dec 2025
30th
 

Dental implants to replace missing back teeth and improve the bite

Replacing missing back teeth is essential. The molar teeth are designed for mastication i.e chewing . Without molars, it is far harder to break down foods for ease of swallowing. This essentially means that the diet will be one of soft foods only and eating will take much longer. This would not be a great look at a New Years eve dinner party!

Our front teeth are created for incising food i.e cutting. If the teeth in front of the molars are overloaded with excessive force then further problems will result such as cracks, fractures and even teeth splitting in half meaning the loss of more teeth.

The good news is that molar teeth can be replaced using dental implants to restore chewing function, spread the forces and enjoy those harder goods once again.

Our case of the month for December is a classic one where the back teeth were lost due to bruxism which severely impaired function.

Before Treatment

IMG 7533

Missing molars on the lower right side

IMG 7535

Missing molars on the left side

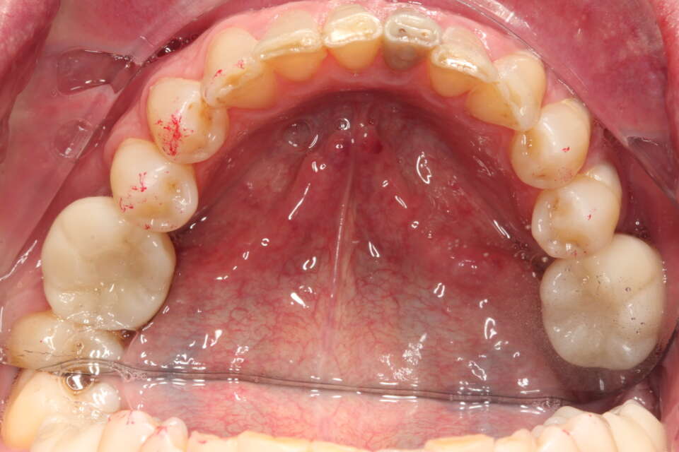
IMG 7536

The occlusal or birds eye view

After Treatment

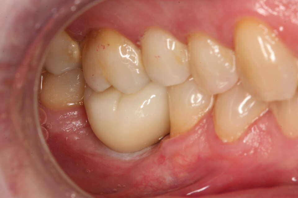
IMG 8049

Molar restored on the right side

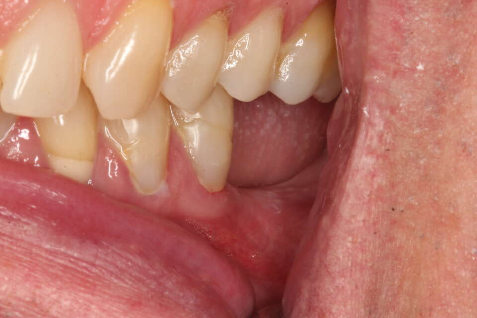
IMG 8050

Molar restored on the left side

IMG 8052

Just look at the size of the restored molars. The impact on eating cannot be underestimated

Treatment Details

The treatment was planned, designed and completed by Dr Nissit Patel using TRI Matrix tissue level dental implants.

If you have trouble eating because your back teeth are missing, contact us and book a free video consultation with Dr Nissit Patel. Why wait, life is too short to live on baby food!

RELATED POSTS

Apr 2026
20th
 

Metal free dental implant to replace a missing back tooth

One of the common trends we are seeing this year is the increasing popularity of metal free dental implants or zirconia dental implants. The benefits of zirconia include: 1. Superior aesthetics Zirconia is tooth-coloured (white), so it blends seamlessly with natural teeth. No risk of a grey metal shine-through, especially in patients with thin gums. 2. Metal-free / hypoallergenic Ideal if you want to avoid metals or have sensitivities. Very low risk of allergic reactions compared to metal-based i… CONTINUE READING
Sep 2025
8th
 

Replacing lower premolar and molar teeth - what is the best solution?

Losing a tooth in the back of your mouth can feel frustrating. The lower premolars and molars—the teeth you use most for chewing—are especially important for eating, speaking, and keeping your smile healthy. When one of these teeth is lost due to decay, gum disease, or injury, it’s natural to wonder what the best replacement option might be. While removable dentures and bridges may be an option , we generally recommend dental implants for replacing premolars and molars, especially in the lower jaw. Implants… CONTINUE READING
May 2025
23rd
 

Replacing multiple teeth with dental implants

Teeth can be lost for various reasons such as tooth decay, trauma, failed root canal treatments or periodontal (gum) disease. The loss of teeth can have a significant impact on not only everyday function but aesthetics and general confidence when out and about. Replacing missing teeth is vital as this will restore function ( eating is important!) , improve aesthetics and prevent the adjacent and opposing teeth from moving into undesirable positions. The latter is a particular problem if the teeth are not re… CONTINUE READING
Feb 2024
28th
 

Peri Implantitis - What Is It And How Can It Be Treated

Peri implantitis is becoming a major issue for dental implants and it is important to be aware of this when embarking on implant treatment to replace missing teeth. The term relates to a number of factors around implants but the main issues are: 1. Inflammation of the surrounding mucosa ( gum ) 2. Increased pocket depths around the dental implant 3. Bleeding on probing 4. Suppuration ( pus oozing from the tissues) 5. Loss of bone around the implant either in a horizontal , vertical or both directions. T… CONTINUE READING
 

TAGS