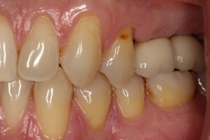
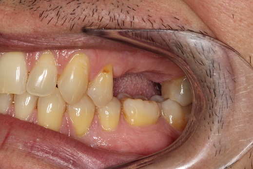
Dental implants are the best way to replace missing teeth- even ones that were lost many years ago. In the future, we may be able to grow new teeth but for now implants are the solution. Our case study involves teeth that were taken out a few years ago and replaced with implants:
The latter photograph was taken on the day the new teeth were fitted. We will show you how the gum improves over time and adapts around the new teeth.
If dental implants are properly looked after and maintained, they will last longer than any other dental treatment. You would even think about looking after a prized car or possession; teeth are no different and require a great deal of after care.
Dental implants should be properly planned, placed with great care and maintained well. 'Cheap ' treatments abroad may sound appealing but what happens when something goes wrong? Where is the after care? Who is the point of contact? Can you contact your surgeon directly?
We offer continuity of care. Dr Nissit Patel under takes all of the dental implant treatment from start to finish and will look after you every step of the way. If you have missing teeth and would like to replace them, contact us today.

