Our case of the month for September involves a dental implant to replace a missing molar tooth. Initially, the tooth was lost due to extensive tooth decay that was not treatable. This resulted in a space which affected eating. Although back teeth are not particularly visible, it is important to replace them for a number of reasons:
- Restore the bite
- Prevent movement of the adjacent teeth
- Prevent movement of the opposite teeth
- Preserve the jaw bone
- Aesthetics if visible on smiling
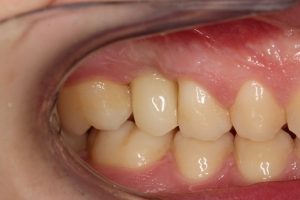
In our case, the missing tooth was on the upper right side:
In terms of the dental implant treatment, there are a number of steps that we follow:
- 3-D scan to assess the bone volume. This is vital as we can see how much bone is present, where the important structures are such as the sinus floor in the case of an upper back tooth. We then choose the correct size implant for the missing tooth.
- Placing the implant. This is done under sterile conditions, much like in a hospital. The surfaces are covered with sterile drapes, the equipment is covered by sterilized foil/ covers and we wear sterile drapes. Although this may look scary, we want the treatment to be as 'clean' as possible by introducing as little bacteria as possible to the mouth.
- Allowing healing. We normally wait 12 weeks after the implant has been placed for osseointegration- integration between the implant and the jaw bone.
- 3-D scans are then taken which are sent to the lab. There is no need to take impressions any more!
5. The implant crown is fitted. The missing tooth is replaced.
If you have one, several or all missing teeth and would like them replaced, contact us today to see how dental implants could change your life.
Treatment completed by Dr Nissit Patel using Astra EV dental implant.
Photographs are the sole property of Dr Patel and cannot be reproduced.


