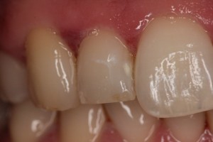
Our case of the month for September is a classic cosmetic bonding case. For those of you that do not know about cosmetic bonding, it is a great technique to enhance a tooth with a completely NON-INVASIVE approach. Teeth can be lengthened, widened, repaired, made symmetrical and gaps closed with this wonderful technique. In virtually all cases, there is NO need for any drilling, any anaesthetic (no needles!) and no unnecessary removal of healthy tooth enamel. Our case shows a typical scenario where a tooth is worn and chipped. The procedure took just 45 minutes and just look at the difference.
This procedure was undertaken by Dr Nissit Patel and took just 45 minutes. He was even able to add characteristics to the bonding to mimic the adjacent teeth. Note the opaque areas at the tips. It is this attention to detail which produces such a great result.The composite used was GC G-aenial, one of the best products on the dental market. If you have worn, fractured, broken or simply small teeth and would like a non invasive approach to enhance them, then composite bonding could be for you. Call us today. The photographs are the sole property of Dr Nissit Patel and any reproduction is strictly prohibited.

