If you have ever thought about straightening your teeth but have dreaded the thought of metal braces, then we have the solution - lingual braces.
Lingual braces are placed on the INSIDE of your teeth so that no one will know that you are wearing an orthodontic brace.
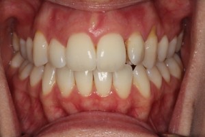
The days of the 'Ugly Betty' type brace have long gone - invisible lingual braces are the future. One of the most popular types of lingual brace is called the Social 6 brace. This aims to straighten the front 4 (upper or lower) teeth in a matter of weeks. So if you are after a cosmetic improvement to your smile and do not want to wait for months or years for results, the Social 6 brace could be for you. For example, have a look at our case below. A wonderful result in just a few weeks: If you are interested in teeth straightening with invisible braces, lingual braces or even tooth coloured braces, please contact us. We have hundreds of completed cases which could be similar to yours- see what could be achieved before treatment! You may also be amazed at not only the speed of treatment but also the cost- a lot less than you may think! Why wait, contact us today.
Treatment completed by Dr Nissit Patel. Photographs cannot be reproduced for any reason.
The days of the 'Ugly Betty' type brace have long gone - invisible lingual braces are the future. One of the most popular types of lingual brace is called the Social 6 brace. This aims to straighten the front 4 (upper or lower) teeth in a matter of weeks. So if you are after a cosmetic improvement to your smile and do not want to wait for months or years for results, the Social 6 brace could be for you. For example, have a look at our case below. A wonderful result in just a few weeks: If you are interested in teeth straightening with invisible braces, lingual braces or even tooth coloured braces, please contact us. We have hundreds of completed cases which could be similar to yours- see what could be achieved before treatment! You may also be amazed at not only the speed of treatment but also the cost- a lot less than you may think! Why wait, contact us today.
Treatment completed by Dr Nissit Patel. Photographs cannot be reproduced for any reason.

