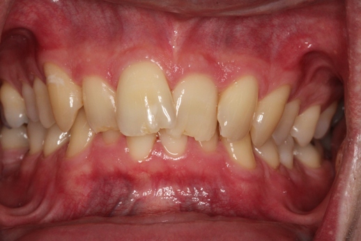
Our case of the month for March 2015 is a fantastic smile transformation using ABC. What is ABC? Simple: 1. A is for ALIGNMENT. The teeth are straightened using one of our adult orthodontic techniques. 2. B is for BLEACHING. Whitening is carried out using a take home kit or our new Philips Zoom LED in chair whitening. 3. C is for COSMETIC BONDING. Any chipped, uneven, rough edges can be restored with our tooth like adhesive bonding techniques. ABC is the non invasive smile makeover. There is no need for drilling away of healthy tooth enamel, no need for injections and there is no pain. What could be better? Take a look for yourself:
The difference is incredible. All this was achieved in under 1 year. If properly maintained, this investment will last a life time. If you are interested in transforming your smile this year, think ABC. It could be as simple as that. Treatment carried out by Dr Nissit Patel. The photographs are the sole property of Dr Nissit Patel and cannot be reproduced

